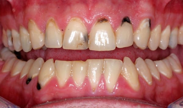
¡Más del 93% de las personas de cualquier edad sufren de caries dentales! Esta es una enfermedad muy conocida, sin embargo, no todos alcanzan a comprender su impacto en la salud general y bienestar…
Si no deseas tener caries en tu adultez, debes comenzar desde la infancia. ¡Lamentablemente, un cepillado regular no es suficiente!
Las bacterias cariogénicas son la causa principal de esta desagradable enfermedad. Estas bacterias se transmiten de los adultos a los niños, mediante besos, vasos o cubiertos usados. Estos errores fatales son más frecuentes de lo que te imaginas…

Prevención de las caries dentales
Algunos padres no suelen cepillarse sus dientes correctamente y de manera regular, por lo que no les inculcan a sus hijos esta rutina preventiva desde la infancia.
Otros van a los extremos: obligan a sus hijos a realizarse un enjuague bucal con una solución agresiva para eliminar totalmente las bacterias. Sin embargo, no toman en cuenta que estas soluciones también degradan y eliminan el esmalte dental, lo que favorece la colonización posterior de bacterias dañinas.

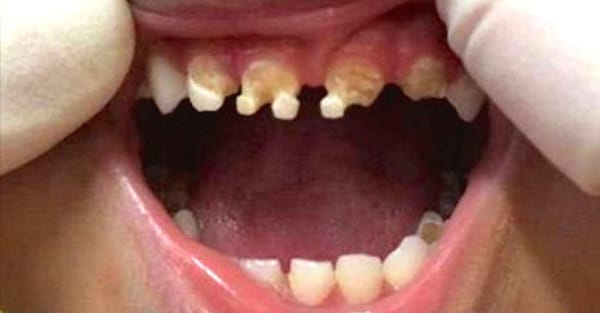
Otro punto importante es el consumo de azúcar, el mejor amigo de la caries. Incluso las bebidas que tienen la inscripción «sin azúcar» en el envase, sí contienen esta sustancia, aunque en menor concentración. Esta madre de Nueva Zelanda le daba a beber Coca-Cola sin azúcar a su hijo de 3 años de edad, y como resultado… ¡El dentista tuvo que retirarle 11 dientes al pequeño!

¿Qué causa las caries en los niños?
- Bacterias estreptocócicas, transmitidas de padres a hijos.
- Enfermedades, tratamientos antibióticos y estrés – durante el embarazo.
- Desnutrición.
- Higiene bucal deficiente.
- Consumo frecuente y desmesurado de dulces.
Aquí te dejamos algunos consejos prácticos de un dentista experimentado, que podrían ayudar a prevenir la caries dental, tanto para niños como para adultos. ¡Qué pasada! te aconseja prestar especial atención. ¡Tu salud te lo agradecerá!
La prevención de la caries dental
- Cepíllate regularmente tus dientes con cepillo e hilo dental.
- Después de comer alimentos dulces, consume verduras o frutas, y luego, enjuaga tu boca. También puedes masticar chicle con xilitol.
- Evita comer dulces y refrescos entre comidas.
- Nunca comas dulces en la noche.
- Bebidas demasiado dulces o demasiado ácidas, consúmelas usando pajitas.
Cuida las normas de higiene y respeta el consumo de carbohidratos… ¡Tu salud es lo primero! Comparte este importante mensaje con tus amigos, puede que aún estén a tiempo de prevenir esta importante enfermedad que tanto afecta la calidad de vida.

Deje su opiñón sobre la publicación