Nadie pone en duda que nuestros amigos de cuatro patas son capaces de verdaderas hazañas. Las palabras «perro» y «fidelidad» hace mucho tiempo se han convertido en sinónimos. Sin embargo, hoy, al igual que nuestros antepasados, no dejamos de admirar un ejemplo más de valentía y fidelidad de nuestros hermanos menores. Muy a menudo, son incluso dispuestos a sacrificar su vida, para salvar la de sus amos. Quepasada.cc te propone conocer el caso que tuvo lugar hace un par de meses en Sudáfrica, y que una vez más, nos hace admirar la lealtad y el coraje de los perros.
Una pequeña perrita, llamada Myra, vivía con sus dueños en una de las zonas más pobres de la Ciudad del Cabo. La vida continuaba como de costumbre, cuando en agosto de 2015 sucedió una tragedia. Un ladrón armado penetró en la casa.

El delincuente fue sorprendido por los hogareños, por lo que no vaciló en hacer uso de las armas de fuego. 16 tiros despiadados acabaron con la vida de los esposos, mientras que el ladrón se dirigía al cuarto de los pequeños, para terminar con ellos. Pero ¡en la habitación se encontraba Myra! En el momento del tiro, el valiente animalito atravezó el cuarto, decidido a interceptar al delincuente.
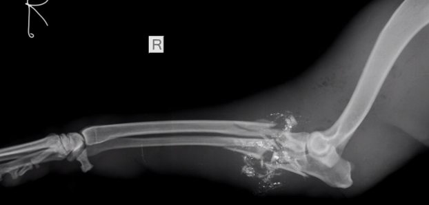
Resultó que la perra cerró con su cuerpo a los pequeños. La bala destrozó la pata delantera de Myra, pero los niños se salvaron. El asesino, al ver que se quedó sin balas, se retiró.

Perrita heroica, aunque muy maltratada, afortunadamente sobrevivió. Fue llevada a la clínica de la Sociedad de Protección y Cuidado de Animales de la Ciudad del Cabo (The Cape of Good Hope SPCA). Los veterinarios tuvieron que amputarle la pata delantera, pero Myra sobrevivió.

Los empleados de SPCA quedaron tan impresionados por la historia de esta valiente perra, que decidieron filmar un video sobre sus hazañas. Por razones éticas, los nombres reales de los actores no se especifican.
Esta historia hace recordar las palabras de Diógenes, filósofo griego: «Cuanto más conozco a la gente, más quiero a mi perro». Si también te quedaste conmovido con la valentía y lealtad de Myra, ¡no dejes de compartir este impresionante post con tus amigos!

Deje su opiñón sobre la publicación