Esta historia comenzó en 1955 en un pequeño pueblo cerca de Casablanca, una ciudad importante en Marruecos. Zahra Aboutalib, que era entonces una niña, estaba a punto de traer al mundo a su primogénito.
El parto de la futura madre fue prematuro y muy pesado, por lo que después de 48 horas de contracciones dolorosas fue enviada a un hospital local. Allí, después de examinar a la paciente, los médicos determinaron que, sin cesárea, no había forma de lograrlo…

Pero un penoso incidente intervino en el destino de Zahra. En el hospital, accidentalmente, la mujer fue testigo de cómo otra mujer, al dar a luz, murió en terrible agonía. Entonces, asustada por su vida, Aboutalib simplemente huyó de la instalación médica.
Zahra sufrió los dolores un par de días más. Sin embargo, estos, inexplicablemente, cesaron poco después…

Sólo 46 años después, regresaron las sensaciones desagradables en el bajo vientre. Para ese momento, la mujer ya se había convertido en abuela. A lo largo de los años nunca se atrevió a dar a luz. ¡En su lugar, la marroquí adoptó tres hijos, y se preocupó por ellos como si fueran suyos!
El hijo adoptivo de Zahra, preocupado por la salud de su madre, envió a la anciana a Ribat, la capital de Marruecos. Allí, la paciente se reunió con un profesor de medicina, que inmediatamente la envió a realizarse una ecografía.
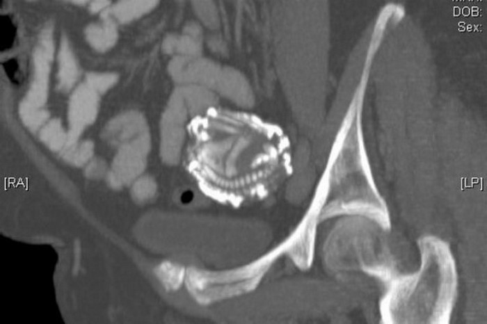
Inicialmente, cuando vio el abdomen hinchado de Aboutalib, el médico pensó en un tumor de ovario. Pero, no pudo identificar la misteriosa masa mostrada en la imagen.
Sólo una imagen obtenida con resonancia magnética podría arrojar luz sobre el cuadro completo. Como resultó, el «tumor» era no era otra cosa que un niño petrificado, aquel que nunca llegó a nacer 46 años atrás.
El feto se desarrolló en la cavidad abdominal, debido a un embarazo ectópico, y por poco no hizo estallar una trompa de Falopio. Luego, cuando murió, el sistema inmunológico de la madre lo «reconoció» como un cuerpo extraño, y formó un «capullo» protector de calcio alrededor suyo.
Cuando el bebé dejó de «pedir paz», Zahra recordó la antigua tradición marroquí, que afirmaba que un bebé puede «dormir» en el vientre de la madre, protegiendo su honor. Desde que la descripción de la leyenda coincidió con su caso, la mujer se calmó y eventualmente sacó la historia de su hijo no-nato de su cabeza.

Vale la pena señalar que el caso de Aboutalib, aunque fuera de lo común, no es el único caso. Este raro fenómeno es conocido por la medicina como litopedion, nombre que recibe un feto muerto, que luego fue calcificado. Tales casos son muy raros: en los últimos 400 años se registraron menos de trescientos.
En este misterioso «capullo de calcio», la criatura muerta puede permanecer durante décadas, y gracias a él, el cuerpo de la madre puede protegerse de la infección.
Por ejemplo, el embrión de la imagen de arriba estuvo en el útero de su madre durante 55 años. ¡Lo más interesante es que durante este período la mujer sobrevivió cinco embarazos más, sin problemas ni complejidades!
La operación para extraer el «bebé de piedra» del cuerpo de Zahra duró cuatro horas. Cabe destacar que los doctores hicieron frente a una tarea difícil, pero todo terminó exitosamente, y la anciana marroquí dejó el hospital, viva y saludable. Eso sí, los anales de la medicina se enriquecieron con otro caso llamativo.
¿Qué opinas acerca de este misterioso fenómeno? Comparte tu punto de vista en los comentarios, y la noticia con tus amigos de las redes sociales…

Deje su opiñón sobre la publicación