¡Crecer nuevos dientes pronto podrá cualquier persona! El profesor Jeremy Mao, de la Universidad de Columbia, propone una nueva tecnología revolucionaria que permite olvidarse de implantes, prótesis dentales y otros «placeres» estomatológicos similares.
El problema es que la instalación de los implantes requiere visitas repetidas al médico y con frecuencia es acompañada de dolor, molestias e inflamación… ¡Pero el profesor Mao encontró otra salida!
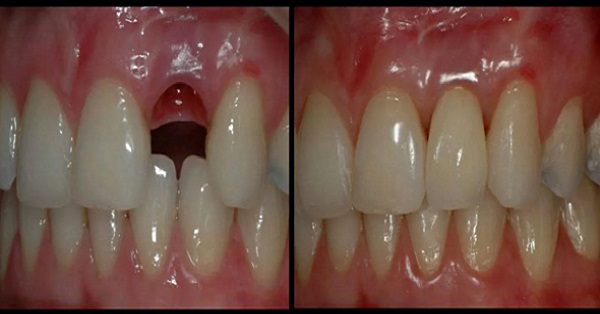
¿Cómo hacer crecer los dientes?
El médico ha desarrollado una tecnología de crecimiento de los dientes directamente en los alvéolos vacíos, y este método ha revolucionado el mundo de la odontología.

Haciendo uso de materiales naturales, Mao elaboró una carcasa con la forma de un diente real, y le agregó un factor de crecimiento. En animales de experimentación, fue introducido el germen de un diente en el alveolo vacío. La estructura porosa de la carcasa permitió que las células madre del animal, migraran a este diseño.
Por término medio, después de 9 semanas, alrededor de los dientes experimentales, se fue restaurando el ligamento periodontal.
El resultado del descubrimiento del profesor Mao ha brindado una oportunidad para, en sólo 9 semanas, hacer crecer un diente directamente en la boca del paciente.
¡Esperaremos con impaciencia la pronta aplicación de las nuevas tecnologías en nuestras clínicas! Jeremy Mao nos dio la esperanza de que, pronto, no tengamos que soportar las largas y dolorosas manipulaciones de una visita al dentista, y que, al extraer un diente malo, nos pueda crecer en su lugar uno nuevo.
¡Comparte estas buenas noticias con tus amigos!

Deje su opiñón sobre la publicación